146 Ridge Road, North Arlington, NJ 07031















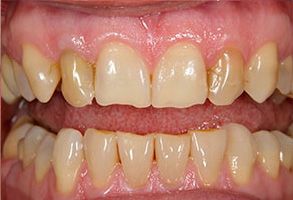
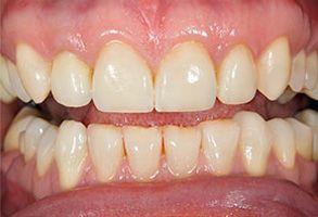
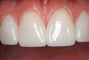
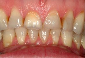
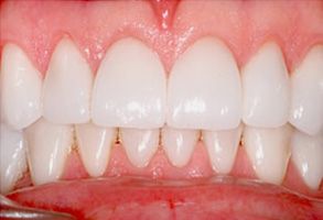
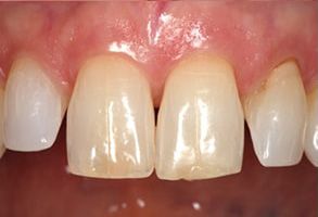
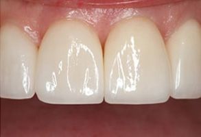
At Jonathan Feder – Family Dentistry, “family” is the key word. Our team is a tight-knit group that truly enjoys providing the best possible care to our community. We also make it a habit to treat each and every one of our patients like family by serving you with respect and compassion, and helping you feel comfortable to express your needs and wants for your smile. We can’t wait to welcome you and your family into our own dental family!
Phone